Compassionate Dental Care for Every Child
Dr. Jamsheera Vadakkan provides gentle, inclusive dental care for all children in the UAE, with special expertise in supporting children with autism, ADHD, and anxiety.
Why Choose Our Practice?
We combine expertise with understanding to create positive dental experiences for every child.
Certified Autism Specialist
IBCCES certified with specialized training in supporting children with autism and sensory needs.
Gentle & Patient Care
Every child receives personalized attention with understanding and compassion.
Multilingual Support
Fluent in 6 languages to serve UAE's diverse community comfortably.
DHA-Eligible Provider
Fully licensed and qualified to practice dentistry in the UAE.
Our Services
Comprehensive dental care tailored to your child's unique needs.
Preventive Care
Regular cleanings, fluoride treatments, and sealants to prevent cavities.
Special Needs Support
Tailored approaches for children with autism, ADHD, and anxiety.
Emergency Care
Same-day appointments for dental emergencies and urgent needs.
Infant Oral Care
Gentle first visits and early intervention for healthy development.
Our Practice & Clinic
A welcoming environment designed for children's comfort and care.



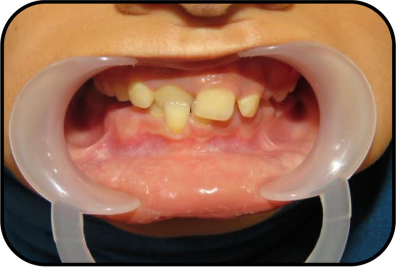
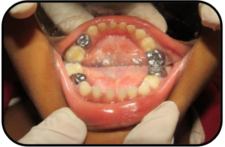
Smile Transformations
See the difference our compassionate care can make.

.jpg)
Smile Transformation 1
Expert dental work creating a beautiful smile.
.jpg)
.jpg)
Smile Transformation 2
Professional restoration for optimal results.
.jpg)
.jpg)
Smile Transformation 3
Precision dental care making a real difference.
.jpg)
.jpg)
Smile Transformation 4
Comprehensive treatment for lasting results.
.jpg)
.jpg)
Smile Transformation 5
Advanced techniques delivering exceptional outcomes.
.jpg)
.jpg)
Smile Transformation 6
Dedicated expertise in every procedure.
* Actual patient results. Individual results may vary.
Accepted Insurances
We are committed to making quality dental care accessible. We accept direct billing with the following insurance providers.
ALSO ACCEPTING
What Parents Say
“Dr. Jamsheera is amazing with my autistic son. She takes her time, explains everything, and has created such a positive experience that he actually looks forward to dental visits now!”
Ready to Give Your Child the Best Dental Care?
Schedule a consultation today and experience compassionate, inclusive dental care.